微生物始终强调培养和标本涂片的重要性,但小涂片的大作用却常被忽视。近期,西安医检规范化建设的社区卫生中心,送往核心实验室的标本,在临床微生物实验室的技术支持和指导下,为临床提供快速有效的诊疗信息,指导临床感染性疾病的精准诊疗。

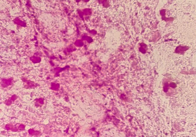
案例一:患者,男性,56岁,出现肺部感染症状,诊断为重症肺炎,送检痰培养,经48小时培养为上呼吸道正常菌群生长。但涂片经革兰染色镜下观察可见大量白细胞,且白细胞内外均可见未着色杆状菌,俗称“鬼影”,怀疑分枝杆菌感染,重新制片进行抗酸染色,结果镜下可见大量抗酸杆菌。立即与临床沟通,建议进行结核及利福平耐药基因检测,两小时即出结果,明确病原菌为结核分枝杆菌,未检测到利福平耐药基因,至此通过一张简单快速的涂片染色即为临床诊疗提供了非常有价值的病原学信息。


案例二:患者,女性,38岁,出现阴道感染症状,分泌物呈黄脓色,临床送检淋球菌培养。在培养标本的涂片中发现大量革兰阴性小杆菌,白细胞内外均可见,随即加种血平皿及巧克力平皿,经72小时培养,淋病奈瑟菌培养未见生长,可见大量的阴道加德纳菌生长,成功帮助临床诊断为阴道加德纳菌引起的阴道炎。


从这两例感染性疾病明确诊断的案例中,充分体现标本涂片对于感染性疾病诊断的重要意义。
01标本直接涂片的优点
快速:相较于培养而言,方法简便、结果快速直观,在30分钟至1小时内可得结果,帮助临床获得初步的病原学信息,为临床感染的判断以及经验用药提供重要依据。
标本质量评价:涂片能直观看到标本中炎症细胞、上皮细胞以及细菌分布状况,评价标本的质量,指导培养方案。还可帮助评价标本,以及早期判断是否存在苛养菌,慢生长细菌等感染具有重要价值,指导病原菌的培养及检出。
经济:相比较培养及分子检测,涂片费用相对较低,降低患者经济负担,对于感染性疾病的诊疗亦应该结合患者自身情况选择更加合理的检验方案。
02标本涂片的送检应用场景
标本涂片作为传统的微生物检查项目,在临床应用广泛,对于涂片的送检有哪些应用场景呢?在WS/T 640-2018《临床微生物学检验标本的采集和转运》中关于细菌学和真菌学检验项目的选择有以下明确规定:
无菌体液标本、组织标本、痰标本、支气管肺泡灌洗液(Bronchoalveolar lavage fluid,BALF)、 尿液标本和脓液标本等宜同时选择标本直接涂片染色镜检和培养;
怀疑隐球菌感染的脑脊液标本:宜同时选择墨汁染色、隐球菌荚膜多糖抗原检验和隐球菌培养;
怀疑分枝杆菌感染的标本:宜同时选择抗酸染色、分枝杆菌培养和分枝杆菌核酸检验;
怀疑厌氧菌感染的标本:宜同时选择革兰染色和厌氧培养,不能排除需氧菌时,宜同时做需氧培养;
怀疑诺卡菌感染的标本:宜同时选择革兰染色、弱抗酸染色和培养;
怀疑侵袭性真菌感染的标本:宜同时选择 10% KOH 压片、真菌培养和真菌抗原检验。另可进行乳酸酚棉兰染色或荧光染色等。
03一张涂片报告单上的重要信息
首先,应关注标本中白细胞的比例及数量,判断标本的基本情况。以痰标本涂片为例,报告单会提示标本中白细胞以及鳞状上皮细胞数量,可以依据细胞的数量及比例判断标本的合格程度,尿液、分泌物涂片中的白细胞可帮助临床初步判断感染情况。
第二,报告细菌的分类、形态及数量,大体可判断细菌的种类以及数量,重要细菌特殊形态的描述给临床对于感染病原的判断有非常重要的指向。如矛头相对且有加膜的双球菌,提示临床关注肺炎链球菌感染,生殖道分泌物中的革兰阴性双球菌,提示淋球菌等。
最后,特殊信息的提示。比如提示白细胞内可见的细菌、夏克雷登结晶,寄生虫、异形细胞等等,有助于发现标本中一些容易被忽视的信息。
感染性疾病可以发生在临床各个科室,人体的任何部位,对于感染性疾病的诊疗是临床面临的常见问题之一,明确病原是有效诊疗的重要信息。适当的送检时机,正确的报告解读,即便一张小涂片亦能发挥大作用,重视标本涂片与培养相结合,传统与现代的微生物技术互相补充,才能更精准地为感染性疾病的诊疗提供有价值的科学依据。
撰文/图丨微生物部 王林娜
部分图片来源丨摄图网
编辑丨曹星星
审核丨白雅红